Promotional price valid on web orders only. Your contract pricing may differ. Interested in signing up for a dedicated account number?
Learn More
Learn More
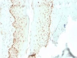
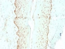
SOX2 Mouse anti-Human, Mouse, Clone: rSOX2/1792, Novus Biologicals™

Mouse Monoclonal Antibody
Supplier: Novus Biologicals NBP30788820UG
Description
SOX2 Monoclonal specifically detects SOX2 in Human, Mouse samples. It is validated for ELISA, Immunohistochemistry-Paraffin.Specifications
| SOX2 | |
| Monoclonal | |
| 0.2 mg/ml | |
| ELISA 2-4 ug/ml, Immunohistochemistry-Paraffin 1-2 ug/ml | |
| ANOP3, MCOPS3, MGC2413, SRY (sex determining region Y)-box 2, SRY-related HMG-box gene 2, transcription factor SOX2, transcription factor SOX-2 | |
| Recombinant fragment (within aa176-305) of human SOX2 protein (exact sequence is proprietary) | |
| 20 μg | |
| Cellular Markers, Core ESC Like Genes, Neuroscience, Sensory Systems, Stem Cell Markers, Stem Cells, Transcription Factors and Regulators, Vision | |
| 6657 | |
| Store at 4°C. | |
| IgG1 κ |
| ELISA, Immunohistochemistry (Paraffin) | |
| rSOX2/1792 | |
| Unconjugated | |
| 10 mM PBS with 0.05% BSA | |
| Mouse | |
| Protein A or G purified | |
| RUO | |
| Primary | |
| Human, Mouse | |
| Purified |
Product Content Correction
Your input is important to us. Please complete this form to provide feedback related to the content on this product.
Product Title
Spot an opportunity for improvement?Share a Content Correction