Promotional price valid on web orders only. Your contract pricing may differ. Interested in signing up for a dedicated account number?
Learn More

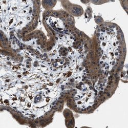
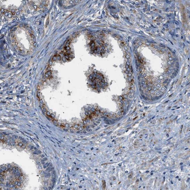
Invitrogen™ STARD3NL Polyclonal Antibody
GREENER_CHOICE

Catalog No. PIPA553953
Change view
Click to view available options
Quantity:
100 μL
1 product options available for selection
Product selection table with 1 available options. Use arrow keys to navigate and Enter or Space to select.
Catalog No. Quantity
PIPA553953 100 μL
Use arrow keys to navigate between rows. Press Enter or Space to select a product option. 1 options available.
1 options
Catalog No. PIPA553953 Supplier Invitrogen™ Supplier No. PA553953
Only null left
Add to Cart
Add to Cart

Rabbit Polyclonal Antibody

Immunogen sequence: MNHLPEDMEN ALTGSQSSHA SLRNIHSINP TQLMARIESY EGREKKGISD VRR Highest antigen sequence identity to the following orthologs: Mouse - 92%, Rat - 94%.

This gene encodes a late-endosomal protein that contains a conserved MENTAL (MLN64 N-terminal) domain. The encoded protein binds cholesterol molecules and may play a role in endosomal cholesterol transport through interactions with metastatic lymph node protein 64 (MLN64).
TRUSTED_SUSTAINABILITY

Specifications

Antigen STARD3NL
Applications Immunohistochemistry (Paraffin), Western Blot, Immunocytochemistry
Classification Polyclonal
Concentration 0.1 mg/mL
Conjugate Unconjugated
Formulation PBS with 40% glycerol and 0.02% sodium azide; pH 7.2
Gene Stard3nl
Gene Accession No. O95772
Gene Alias 0610035N01Rik; 6530409L22Rik; AW124774; MENTHO; MGC3251; MLN64 N-terminal domain homolog; MLN64 N-terminal homolog; STARD3 N-terminal like; STARD3 N-terminal-like protein; STARD3NL; UNQ855/PRO1864
Gene Symbols Stard3nl
Host Species Rabbit
Immunogen Recombinant protein corresponding to Human STARD3NL. Recombinant protein control fragment (Product #RP-91136).
Purification Method Antigen affinity chromatography
Quantity 100 μL
Regulatory Status RUO
Primary or Secondary Primary
Gene ID (Entrez) 83930
Target Species Human
Content And Storage Store at 4°C short term. For long term storage, store at -20°C, avoiding freeze/thaw cycles.
Product Type Antibody
Form Liquid
Isotype IgG
Show More Show Less
WARNING: Cancer - www.P65Warnings.ca.gov
Product Title
Select an issue

By clicking Submit, you acknowledge that you may be contacted by Fisher Scientific in regards to the feedback you have provided in this form. We will not share your information for any other purposes. All contact information provided shall also be maintained in accordance with our Privacy Policy.