Learn More
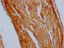
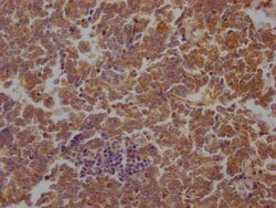
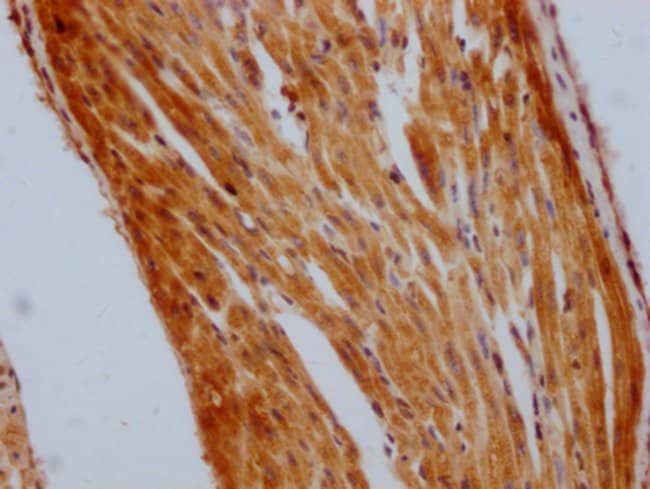
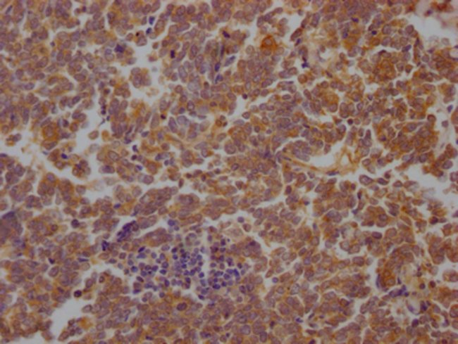
Invitrogen™ STAT3 Recombinant Rabbit Monoclonal Antibody (3A9)

Description
This antibody has been tested in direct-ELISA.
Specifications
Specifications
| Antigen | STAT3 |
| Applications | Immunohistochemistry (Paraffin), Western Blot |
| Classification | Recombinant Monoclonal |
| Clone | 3A9 |
| Concentration | 0.4 mg/mL |
| Conjugate | Unconjugated |
| Formulation | PBS with 50% glycerol, 150mM NaCl and 0.02% sodium azide; pH 7.4 |
| Gene | STAT3 |
| Gene Accession No. | P40763 |
| Gene Alias | 1110034C02Rik; acute phase response factor; acute-phase response factor; ADMIO; ADMIO1; APRF; AW109958; DNA-binding protein APRF; FLJ20882; HIES; MGC16063; signal transducer and activator of transcription 3; signal transducer and activator of transcription 3 (acute-phase response factor); signal transducer; activator of transcription; acute-phase response factor; signal transduction and activation of transcription 3; STAT; STAT3; STAT-3; stat3 protein; STAT3b1; STAT3b2; transcription factor; Unknown (protein for MGC:128731); wu:fc15d02; wu:fl59g06; z-Stat3 |
| Show More |
By clicking Submit, you acknowledge that you may be contacted by Fisher Scientific in regards to the feedback you have provided in this form. We will not share your information for any other purposes. All contact information provided shall also be maintained in accordance with our Privacy Policy.