Promotional price valid on web orders only. Your contract pricing may differ. Interested in signing up for a dedicated account number?
Learn More
Learn More
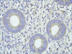
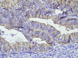
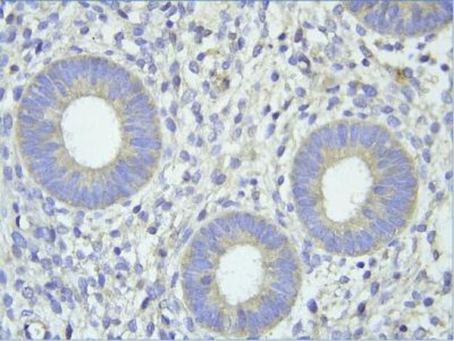
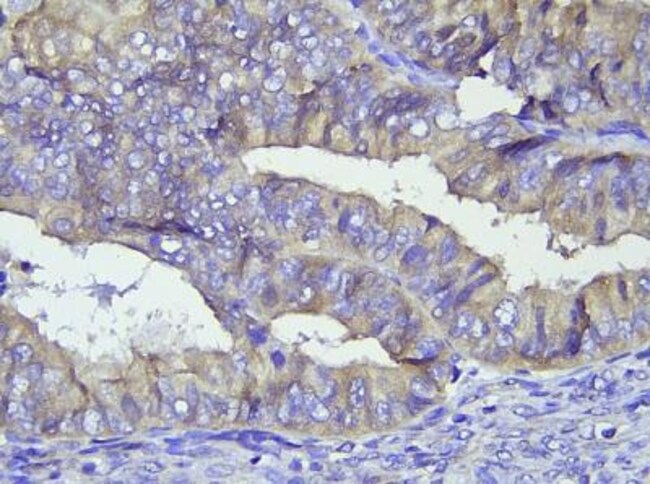
Steroid sulfatase Antibody, Novus Biologicals™

Rabbit Polyclonal Antibody
Supplier: Novus Biologicals NBP169686
Description
Steroid sulfatase Polyclonal specifically detects Steroid sulfatase in Human samples. It is validated for Western Blot, Immunohistochemistry, Immunohistochemistry-Paraffin.Specifications
Steroid sulfatase | |
Polyclonal | |
Unconjugated | |
PBS, 2% Sucrose with 0.09% Sodium Azide | |
ARSC1ES, ARSCsteroid sulfatase (microsomal), arylsulfatase C, isozyme S, Arylsulfatase C, ASC, EC 3.1.6, EC 3.1.6.2, estrone sulfatase, SSDD, Steroid sulfatase, steroid sulfatase (microsomal), isozyme S, steryl-sulfatase, Steryl-sulfate sulfohydrolase, XLI | |
Rabbit | |
63 kDa | |
100 μL | |
Lipid and Metabolism | |
412 | |
Centrifuge the vial of lyoph antibody at 12,000 x g for 20 seconds. Add 50μL of distilled water. Vortex followed by centrifuge again to pellet the solution.Final concentration is 1mg/mL in PBS buffer. | |
Store at 4°C short term. Aliquot and store at -20°C long term. Avoid freeze-thaw cycles. |
Western Blot, Immunohistochemistry, Immunohistochemistry (Paraffin) | |
0.5 mg/ml | |
Western Blot 1.0 ug/ml | |
P08842 | |
STS | |
Synthetic peptides corresponding to STS(steroid sulfatase (microsomal), isozyme S) The peptide sequence was selected from the middle region of STS. Peptide sequence EPTSNMDIFPTVAKLAGAPLPEDRIIDGRDLMPLLEGKSQRSDHEFLFHY. | |
Affinity purified | |
RUO | |
Primary | |
Zebrafish: 89%; Guinea pig: 86%; Canine: 80%; Mouse: 77%; . | |
Human, Mouse, Pig, Bovine, Canine, Equine, Guinea Pig, Rabbit, Zebrafish | |
IgG |
Product Content Correction
Your input is important to us. Please complete this form to provide feedback related to the content on this product.
Product Title
For Research Use Only
Spot an opportunity for improvement?Share a Content Correction