Promotional price valid on web orders only. Your contract pricing may differ. Interested in signing up for a dedicated account number?
Learn More

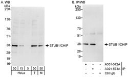
STUB1/CHIP Rabbit anti-Human, Mouse, Polyclonal, Bethyl Laboratories

Catalog No. 501560727
Encompass_Preferred
Change view
Click to view available options
Quantity:
100 μL
1 product options available for selection
Product selection table with 1 available options. Use arrow keys to navigate and Enter or Space to select.
Catalog No. Quantity
50-156-0727 100 μL
Use arrow keys to navigate between rows. Press Enter or Space to select a product option. 1 options available.
1 options
Catalog No. 50-156-0727 Supplier Bethyl Laboratories, Inc Supplier No. A301572A
Only null left
Add to Cart
Add to Cart

Rabbit Polyclonal Antibody

The recommended shelf life for this product is 1 year from date of receipt.

STUB1, or CHIP, is a ubiquitin ligase/cochaperone that participates in protein quality control by targeting a broad range of chaperone protein substrates for degradation.

Specifications

Antigen STUB1/CHIP
Applications Immunoprecipitation, Western Blot
Classification Polyclonal
Concentration 0.2 mg/ml
Conjugate Unconjugated
Formulation TBS with 0.1% BSA and 0.09% sodium azide
Gene STUB1
Gene Accession No. Q9UNE7, Q9WUD1
Gene Alias Carboxyl Terminus of Hsc70-Interacting Protein
Gene Symbols Stub1
Host Species Rabbit
Immunogen Between 1 and 50
Purification Method Antigen affinity chromatography
Quantity 100 μL
Regulatory Status RUO
Primary or Secondary Primary
Gene ID (Entrez) 10273, 56424
Target Species Human, Mouse
Content And Storage 4° C
Product Type Antibody
Form Liquid
Isotype IgG
Show More Show Less
Product Title
Select an issue

By clicking Submit, you acknowledge that you may be contacted by Fisher Scientific in regards to the feedback you have provided in this form. We will not share your information for any other purposes. All contact information provided shall also be maintained in accordance with our Privacy Policy.