Promotional price valid on web orders only. Your contract pricing may differ. Interested in signing up for a dedicated account number?
Learn More
Learn More
SUMO4 Rabbit anti-Human, Mouse, Rat, Clone: 7X3V7, Novus Biologicals™

Rabbit Monoclonal Antibody
Supplier: Novus Biologicals NBP31673220UL
This item is not returnable.
View return policy
Description
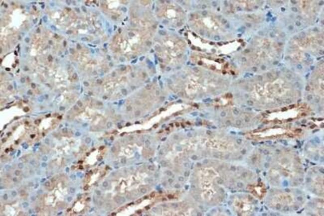
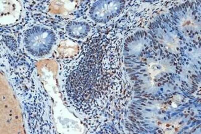
SUMO4 Monoclonal antibody specifically detects SUMO4 in Human, Mouse, Rat samples. It is validated for Western Blot, Immunohistochemistry, Immunofluorescence, Immunohistochemistry (Paraffin)Specifications
SUMO4 | |
Monoclonal | |
Unconjugated | |
PBS, 0.05% BSA, 50% glycerol, pH7.3 | |
Rabbit | |
Affinity purified | |
RUO | |
Primary | |
Human, Mouse, Rat | |
Purified |
Western Blot, Immunohistochemistry, Immunofluorescence, Immunohistochemistry (Paraffin) | |
7X3V7 | |
Western Blot, Immunohistochemistry 1:50 - 1:200, Immunocytochemistry/Immunofluorescence, Immunohistochemistry-Paraffin | |
dJ281H8.4, IDDM5, small ubiquitin-like modifier 4 protein, Small ubiquitin-like protein 4, small ubiquitin-related modifier 4, SMT3 suppressor of mif two 3 homolog 2, SMT3 suppressor of mif two 3 homolog 4 (S. cerevisiae), SMT3 suppressor of mif two 3 homolog 4 (yeast), SMT3H4, SUMO-4 | |
Recombinant fusion protein containing a sequence corresponding to amino acids 1-95 of human SUMO4 (Q6EEV6). | |
20 μg | |
Protein Phosphatase | |
387082 | |
Store at -20°C. Avoid freeze-thaw cycles. | |
IgG |
Product Content Correction
Your input is important to us. Please complete this form to provide feedback related to the content on this product.
Product Title
Spot an opportunity for improvement?Share a Content Correction