Promotional price valid on web orders only. Your contract pricing may differ. Interested in signing up for a dedicated account number?
Learn More
Learn More
Invitrogen™ Syntrophin alpha-1 Recombinant Rabbit Monoclonal Antibody (JG35-62)

Rabbit Recombinant Monoclonal Antibody
Supplier: Invitrogen™ MA534733
Description
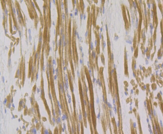
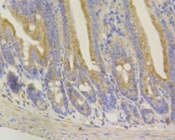
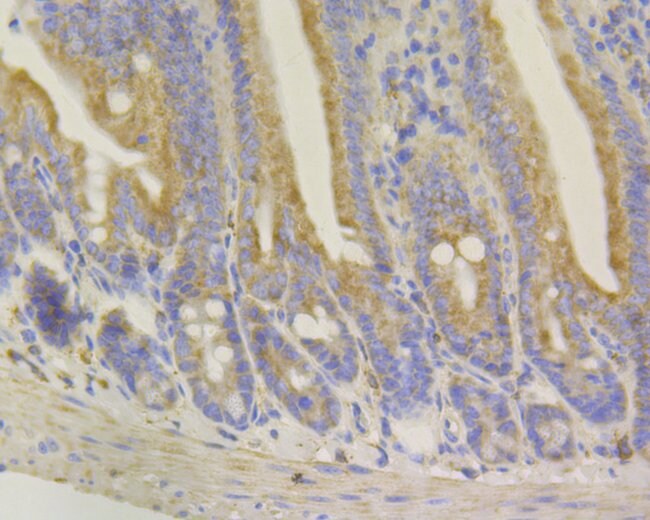
Positive Control: HepG2, LOVO, SiHa, human colon tissue, human skeletal muscle tissue, mouse colon tissue, mouse skeletal muscle tissue.
Syntrophin alpha-1 (Dystrophin, SNTA1) is a large, rod-like cytoskeletal protein found at the inner surface of muscle fibers. Dystrophin is missing in Duchenne Muscular Dystrophy patients and is present in reduced amounts in Becker Muscular Dystrophy patients. The protein encoded by this gene is a peripheral membrane protein found associated with dystrophin and dystrophin-related proteins. This gene is a member of the syntrophin gene family, which contains at least two other structurally-related genes.
Specifications
| Syntrophin alpha-1 | |
| Recombinant Monoclonal | |
| 1 mg/mL | |
| TBS with 0.05% BSA, 40% glycerol and 0.05% sodium azide; pH 7.4 | |
| Q13424 | |
| SNTA1 | |
| Synthetic peptide within Human Syntrophin alpha 1 aa 1-49. | |
| 100 μL | |
| Primary | |
| Human | |
| Antibody | |
| IgG |
| Flow Cytometry, Immunohistochemistry (Paraffin), Western Blot, Immunocytochemistry | |
| JG35-62 | |
| Unconjugated | |
| SNTA1 | |
| 59 kDa dystrophin-associated protein A1 acidic component 1; 59-1 DAP; acidic alpha 1 syntrophin; alpha-1-syntrophin; alpha1-syntrophin; alpha-syntrophin; AW228934; dJ1187J4.5; dystrophin-associated protein A1, 59kDa, acidic component; LQT12; pro-TGF-alpha cytoplasmic domain-interacting protein 1; RP23-192L3.1; SNT1; SNTA1; syntrophin alpha 1; syntrophin, acidic 1; syntrophin, alpha 1; syntrophin, alpha 1 (dystrophin-associated protein A1, 59kDa, acidic component); syntrophin-1; TACIP1; Unknown (protein for MGC:142519) | |
| Rabbit | |
| Protein A | |
| RUO | |
| 6640 | |
| -20°C, Avoid Freeze/Thaw Cycles, store in dark | |
| Liquid |
Product Content Correction
Your input is important to us. Please complete this form to provide feedback related to the content on this product.
Product Title
Spot an opportunity for improvement?Share a Content Correction