Learn More
Description
Specifications
Specifications
| Antigen | TCF21 |
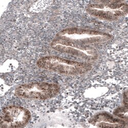
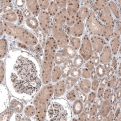
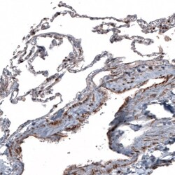
| Applications | ChIP Assay, Immunohistochemistry, Immunohistochemistry (Paraffin) |
| Classification | Polyclonal |
| Concentration | 0.1mg/mL |
| Conjugate | Unconjugated |
| Dilution | Western Blot 0.04 - 0.4 ug/ml, Chromatin Immunoprecipitation, Immunohistochemistry 1:200 - 1:500, Immunohistochemistry-Paraffin 1:200 - 1:500 |
| Formulation | PBS (pH 7.2) and 40% Glycerol with 0.02% Sodium Azide |
| Gene Alias | bHLHa23BHLHA23, Capsulin, Class A basic helix-loop-helix protein 23, epicardin, Pod-1, POD1pod-1, Podocyte-expressed 1, TCF-21, transcription factor 21 |
| Gene Symbols | TCF21 |
| Host Species | Rabbit |
| Show More |
For Research Use Only
By clicking Submit, you acknowledge that you may be contacted by Fisher Scientific in regards to the feedback you have provided in this form. We will not share your information for any other purposes. All contact information provided shall also be maintained in accordance with our Privacy Policy.
