Promotional price valid on web orders only. Your contract pricing may differ. Interested in signing up for a dedicated account number?
                
Learn More
Learn More
                                    TEX22 Antibody, Novus Biologicals™
                                    
                                    
                                    
                                    
                                
                            
                            
                            
                            
Rabbit Polyclonal Antibody
Supplier: Novus Biologicals NBP23806925UL
Description
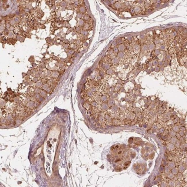
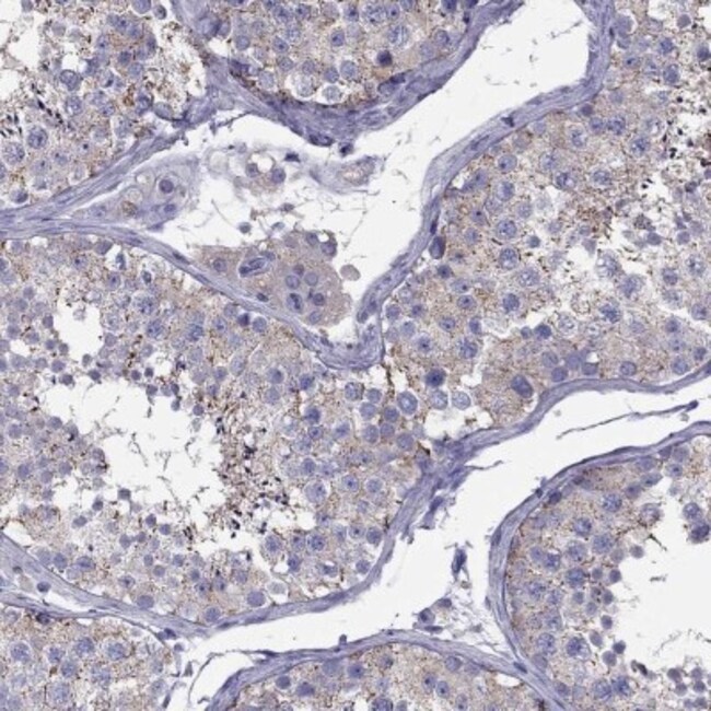
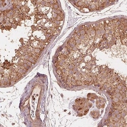
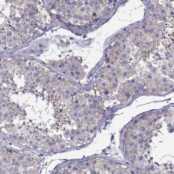
TEX22 Polyclonal specifically detects TEX22 in Human samples. It is validated for Immunohistochemistry, Immunohistochemistry-Paraffin.Specifications
| TEX22 | |
| Polyclonal | |
| Immunohistochemistry 1:1000 - 1:2500, Immunohistochemistry-Paraffin 1:1000 - 1:2500 | |
| C9J3V5 | |
| TEX22 | |
| This antibody was developed against a recombinant protein corresponding to amino acids: QLHCRDVVQMVAQLVSEDVDKDVLLPHPLRSTESTNAFQAFLARSAPFWHNATFEAS | |
| 25 μL | |
| Primary | |
| Specificity of antibody verified on a Protein Array containing target protein plus 383 other non-specific proteins. | |
| Store at 4°C short term. Aliquot and store at-20°C long term. Avoid freeze/thaw cycles. | 
| Immunohistochemistry, Immunohistochemistry (Paraffin) | |
| Unconjugated | |
| PBS (pH 7.2) and 40% Glycerol with 0.02% Sodium Azide | |
| Testis Expressed 22, Testis Expressed Gene 22, Testis-Expressed Sequence 22 Protein | |
| Rabbit | |
| Affinity Purified | |
| RUO | |
| 647310 | |
| Human | |
| IgG | 
                    Product Content Correction
                
                Your input is important to us. Please complete this form to provide feedback related to the content on this product.
Product Title
			
            Spot an opportunity for improvement?Share a Content Correction