Promotional price valid on web orders only. Your contract pricing may differ. Interested in signing up for a dedicated account number?
Learn More
Learn More
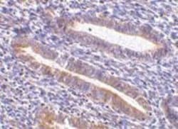
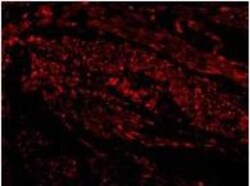
TIM-1/KIM-1/HAVCR Antibody - BSA Free, Novus Biologicals™

Rabbit Polyclonal Antibody has been used in 19 publications
Supplier: Novus Biologicals NBP176701SS
Description
TIM-1/KIM-1/HAVCR Polyclonal specifically detects TIM-1/KIM-1/HAVCR in Human, Mouse, Rat samples. It is validated for Western Blot, ELISA, Immunohistochemistry, Immunocytochemistry/Immunofluorescence, Immunohistochemistry-Paraffin, Knockdown Validated.Specifications
| TIM-1/KIM-1/HAVCR | |
| Polyclonal | |
| Unconjugated | |
| PBS with 0.02% Sodium Azide | |
| HAVCR-1, HAVCRT cell immunoglobin domain and mucin domain protein 1, hepatitis A virus cellular receptor 1, Kidney injury molecule 1, KIM1, KIM-1, T-cell immunoglobulin and mucin domain-containing protein 1, TIM-1TIM, TIM1TIMD-1, TIMD1T-cell membrane protein 1 | |
| Rabbit | |
| 44 kDa | |
| 0.025 mg | |
| Primary | |
| Human TIM-1/KIM-1/HAVCR has 5 isoforms, including isoform a precursor (364aa, 39kD), isoform a (364aa, 39kD), isoform b precursor (401aa, 44kD), isoform b (359aa, 39kD), and isoform c (359aa, 39kD). This antibody detects human isoform b precursor. Mouse TIM-1/KIM-1/HAVCR has 3 isoforms, including isoform a precursor (305aa, 33kD), isoform b precursor (282aa, 31kD) and isoform b (282aa, 31kD). Rat TIM-1/KIM-1/HAVCR has only one isoform identified so far (307aa, 34kD). | |
| Store at 4C short term. Aliquot and store at -20C long term. Avoid freeze-thaw cycles. |
| Western Blot, ELISA, Immunohistochemistry, Immunocytochemistry, Immunofluorescence, Immunohistochemistry (Paraffin) | |
| 1 mg/mL | |
| Western Blot 1-8 ug/ml, ELISA 1:100-1:2000, Immunohistochemistry 10 ug/ml, Immunocytochemistry/Immunofluorescence 20 ug/ml, Immunohistochemistry-Paraffin 10 ug/ml, KnockDown Validated | |
| Q96D42 | |
| HAVCR1 | |
| Antibody was raised against a peptide corresponding to 16 amino acids near the amino terminus of human TIM-1. The immunogen is located within amino acids 50 - 100 of TIM-1. Amino Acid Squence: TNGTHVTYRKDTRYKL | |
| Affinity Purified | |
| RUO | |
| 26762 | |
| Human, Mouse, Rat | |
| IgG |
Product Content Correction
Your input is important to us. Please complete this form to provide feedback related to the content on this product.
Product Title
Spot an opportunity for improvement?Share a Content Correction