Promotional price valid on web orders only. Your contract pricing may differ. Interested in signing up for a dedicated account number?
Learn More
Learn More
TPPP/p25 Rabbit anti-Mouse, Rat, Clone: 3S5U9, Novus Biologicals™

Rabbit Monoclonal Antibody
Supplier: Novus Biologicals NBP316454100UL
This item is not returnable.
View return policy
Description
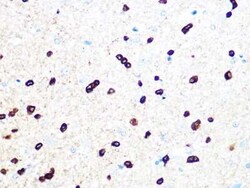
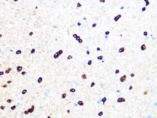
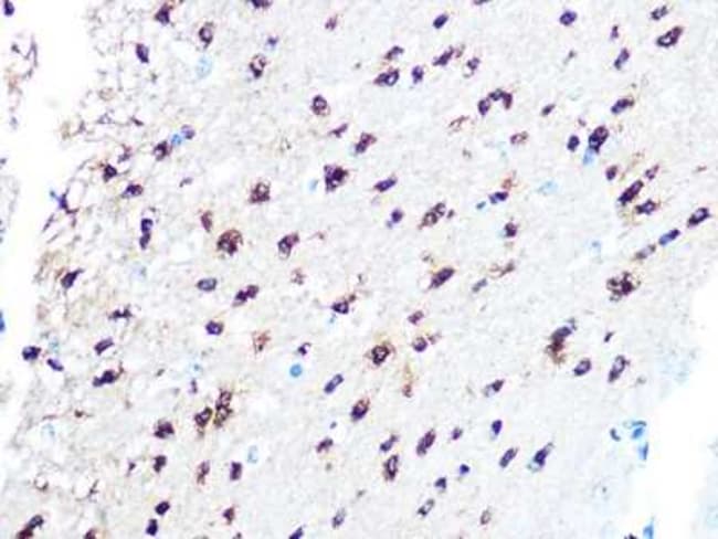
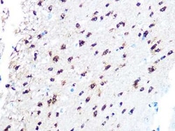
TPPP/p25 Monoclonal antibody specifically detects TPPP/p25 in Mouse, Rat samples. It is validated for Western Blot, Immunohistochemistry, Immunohistochemistry (Paraffin)Specifications
TPPP/p25 | |
Monoclonal | |
Unconjugated | |
PBS, 0.05% BSA, 50% glycerol, pH7.3 | |
Rabbit | |
Affinity purified | |
RUO | |
Primary | |
Mouse, Rat | |
Purified |
Western Blot, Immunohistochemistry, Immunohistochemistry (Paraffin) | |
3S5U9 | |
Western Blot, Immunohistochemistry 1:50 - 1:200, Immunohistochemistry-Paraffin | |
p24, P24,25 kDa brain-specific protein, P25, p25alpha, p25-alpha, TPPP/p25brain specific protein p25 alpha, TPPP1glycogen synthase kinase 3 (GSK3) inhibitor p24, tubulin polymerization promoting protein, tubulin polymerization-promoting protein | |
A synthetic peptide corresponding to a sequence within amino acids 100-200 of human TPPP/p25 (O94811). | |
100 μg | |
Cell Biology, Cytoskeleton Markers, Signal Transduction | |
11076 | |
Store at -20°C. Avoid freeze-thaw cycles. | |
IgG |
Product Content Correction
Your input is important to us. Please complete this form to provide feedback related to the content on this product.
Product Title
Spot an opportunity for improvement?Share a Content Correction