Promotional price valid on web orders only. Your contract pricing may differ. Interested in signing up for a dedicated account number?
Learn More
Learn More
Tryptase beta-2/TPSB2 Rabbit anti-Human, Mouse, Rat, Clone: 6U1C5, Novus Biologicals™

Rabbit Monoclonal Antibody
Supplier: Novus Biologicals NBP31592520UL
This item is not returnable.
View return policy
Description
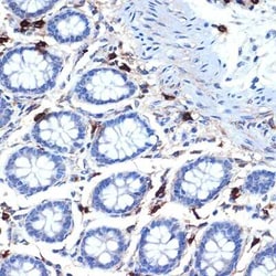
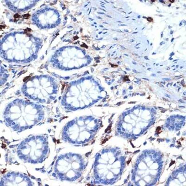
Tryptase beta-2/TPSB2 Monoclonal antibody specifically detects Tryptase beta-2/TPSB2 in Human, Mouse, Rat samples. It is validated for Western Blot, Immunohistochemistry, Immunohistochemistry (Paraffin)Specifications
Tryptase beta-2/TPSB2 | |
Monoclonal | |
Unconjugated | |
PBS, 0.05% BSA, 50% glycerol, pH7.3 | |
Rabbit | |
Affinity purified | |
RUO | |
Primary | |
Human, Mouse, Rat | |
Purified |
Western Blot, Immunohistochemistry, Immunohistochemistry (Paraffin) | |
6U1C5 | |
Western Blot 1:500 - 1:2000, Immunohistochemistry 1:50 - 1:200, Immunohistochemistry-Paraffin | |
EC 3.4.21, EC 3.4.21.59, mast cell tryptase beta II, mast cell tryptase beta III, TPS2tryptase beta-2, tryptase beta 2, tryptase beta 2 (gene/pseudogene), tryptase beta II, tryptase beta III, Tryptase II, tryptase III, tryptase-2, tryptaseB, tryptaseC | |
Recombinant fusion protein containing a sequence corresponding to amino acids 30-275 of human Tryptase beta-2/TPSB2 (TPSB2) (P20231). GIVGGQEAPRSKWPWQVSLRVHGPYWMHFCGGSLIHPQWVLTAAHCVGPDVKDLAALRVQLREQHLYYQDQLLPVSRIIVHPQFYTAQIGADIALLELEEPVNVSSHVHTVTLPPASETFPPGMPCWVTGWGDVDNDERLPPPFPLKQVKVPIMENHICDAKYHLGAYTGDDVRIVRDDMLCAGNTRRDSCQGDSGGPLVCKVNGTWLQAGVVSWGEGCAQPNRPGIYTRVTYYLDWIHHYVPKKP | |
20 μg | |
Cell Biology, Immunology, Innate Immunity | |
64499 | |
Store at -20°C. Avoid freeze-thaw cycles. | |
IgG |
Product Content Correction
Your input is important to us. Please complete this form to provide feedback related to the content on this product.
Product Title
Spot an opportunity for improvement?Share a Content Correction