Promotional price valid on web orders only. Your contract pricing may differ. Interested in signing up for a dedicated account number?
Learn More
Learn More
UMPS Antibody, Novus Biologicals™

Rabbit Polyclonal Antibody
Supplier: Novus Biologicals NBP220810
Description
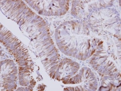
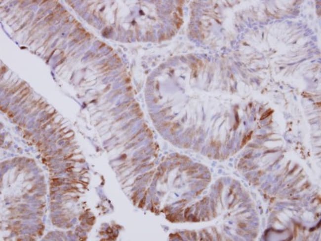
UMPS Polyclonal specifically detects UMPS in Human samples. It is validated for Western Blot, Immunohistochemistry, Immunocytochemistry/Immunofluorescence, Immunohistochemistry-Paraffin.Specifications
UMPS | |
Polyclonal | |
Unconjugated | |
0.1M Tris (pH 7.0), 0.1M Glycine and 20% Glycerol with 0.01% Thimerosal | |
EC 4.1.1.23, OMPdecase, OPRT, OPRTase, orotate phosphoribosyltransferase, orotidine 5'-phosphate decarboxylase, UMP synthase, uridine 5'-monophosphate synthase, uridine monophosphate synthetase | |
Rabbit | |
52 kDa | |
0.1 mL | |
DNA replication Transcription Translation and Splicing, metabolism | |
7372 | |
Human | |
IgG |
Western Blot, Immunohistochemistry, Immunocytochemistry, Immunofluorescence, Immunohistochemistry (Paraffin) | |
1mg/mL | |
Western Blot 1:500-1:3000, Immunohistochemistry 1:100-1:1000, Immunocytochemistry/Immunofluorescence 1:100-1:1000, Immunohistochemistry-Paraffin 1:100-1:1000 | |
P11172 | |
UMPS | |
Recombinant protein encompassing a sequence within the center region of human UMPS. The exact sequence is proprietary. | |
Affinity Purified | |
RUO | |
Primary | |
Human. Species reactivity based on sequence identity: Mouse (90%), Chicken (81%), Rat (92%), Bovine (89%). | |
Aliquot and store at -20C or -80C. Avoid freeze-thaw cycles. |
Product Content Correction
Your input is important to us. Please complete this form to provide feedback related to the content on this product.
Product Title
For Research Use Only
Spot an opportunity for improvement?Share a Content Correction