Promotional price valid on web orders only. Your contract pricing may differ. Interested in signing up for a dedicated account number?
Learn More
Learn More
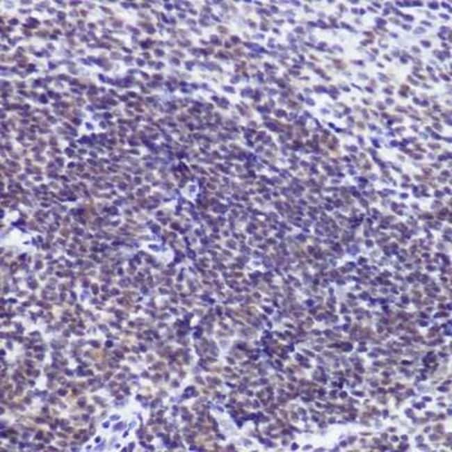
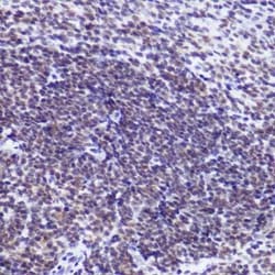
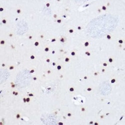
USP39 Rabbit anti-Human, Mouse, Rat, Clone: 1S9R9, Novus Biologicals™

Rabbit Monoclonal Antibody
Supplier: Novus Biologicals NBP316119100UL
Description
USP39 Monoclonal antibody specifically detects USP39 in Human, Mouse, Rat samples. It is validated for Western Blot, Immunohistochemistry, Immunofluorescence, Immunohistochemistry (Paraffin)Specifications
USP39 | |
Monoclonal | |
Unconjugated | |
PBS, 0.05% BSA, 50% glycerol, pH7.3 | |
Rabbit | |
Affinity purified | |
RUO | |
Primary | |
Human, Mouse, Rat | |
Purified |
Western Blot, Immunohistochemistry, Immunofluorescence, Immunohistochemistry (Paraffin) | |
1S9R9 | |
Western Blot, Immunohistochemistry 1:50 - 1:200, Immunocytochemistry/Immunofluorescence, Immunohistochemistry-Paraffin | |
CGI-21, HSPC332, Inactive ubiquitin-specific peptidase 39,65K, SAD1 homolog, SAD1MGC75069, small nuclear ribonucleoprotein 65kDa (U4/U6.U5), SnRNP assembly defective 1 homolog, SNRNP65, U4/U6.U5 tri-snRNP-associated 65 kDa protein, U4/U6.U5 tri-snRNP-associated protein 2, ubiquitin specific peptidase 39, ubiquitin specific protease 39 | |
A synthetic peptide corresponding to a sequence within amino acids 466-565 of human USP39 (Q53GS9). | |
100 μg | |
Cell Biology | |
10713 | |
Store at -20°C. Avoid freeze-thaw cycles. | |
IgG |
Product Content Correction
Your input is important to us. Please complete this form to provide feedback related to the content on this product.
Product Title
Spot an opportunity for improvement?Share a Content Correction