Learn More
Description
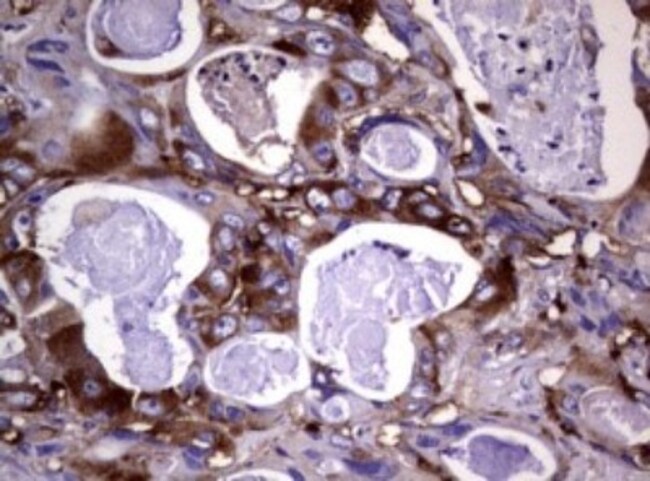
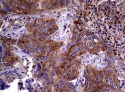
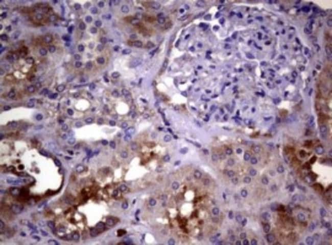
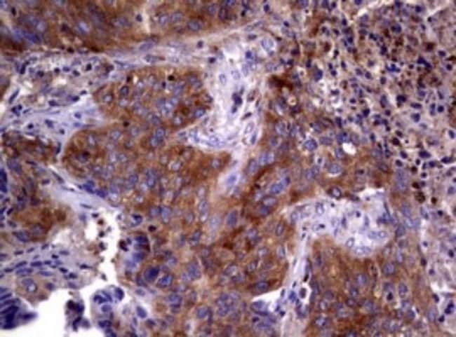
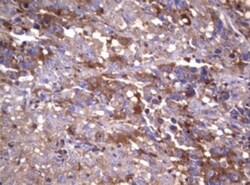
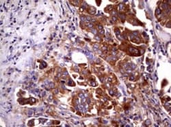
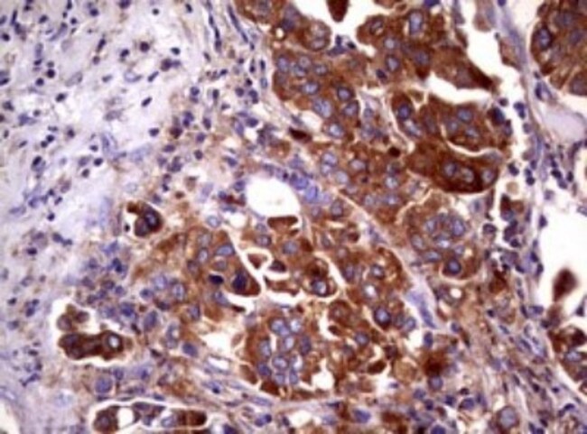
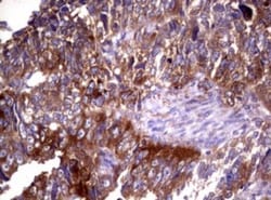
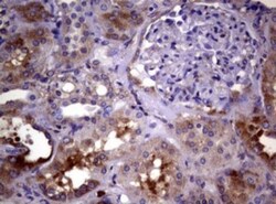
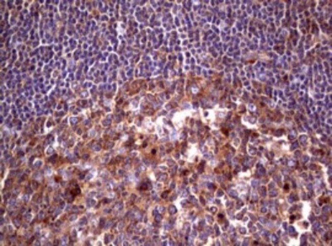
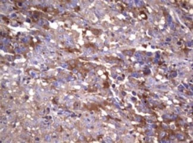
Ensure accurate, reproducible results in Western Blot, Immunohistochemistry
Specifications
Specifications
| Antigen | Wnt3 |
| Applications | Western Blot, Immunohistochemistry, Immunohistochemistry (Paraffin) |
| Classification | Monoclonal |
| Clone | OTI1G7 |
| Concentration | 1 mg/mL |
| Conjugate | Unconjugated |
| Dilution | Western Blot 1:2000, Immunohistochemistry 1:150, Immunohistochemistry-Paraffin |
| Formulation | PBS (pH 7.3), 1.0% BSA and 50% Glycerol with 0.02% Sodium Azide |
| Gene Alias | INT4Proto-oncogene Int-4 homolog, MGC131950, MGC138321, MGC138323, proto-oncogene Wnt-3, wingless-type MMTV integration site family, member 3, WNT-3 proto-oncogene protein |
| Gene Symbols | WNT3 |
| Show More |
For Research Use Only
By clicking Submit, you acknowledge that you may be contacted by Fisher Scientific in regards to the feedback you have provided in this form. We will not share your information for any other purposes. All contact information provided shall also be maintained in accordance with our Privacy Policy.
