Promotional price valid on web orders only. Your contract pricing may differ. Interested in signing up for a dedicated account number?
Learn More
Learn More
Xanthine Oxidase Rabbit anti-Human, Mouse, Rat, Clone: 0M8E7, Novus Biologicals™

Rabbit Monoclonal Antibody
Supplier: Novus Biologicals NBP316735100UL
This item is not returnable.
View return policy
Description
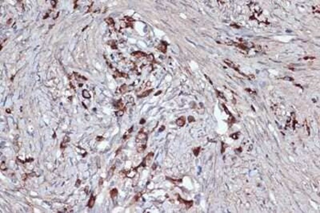
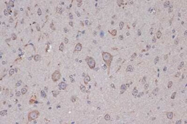
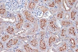
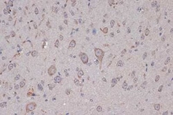
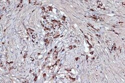
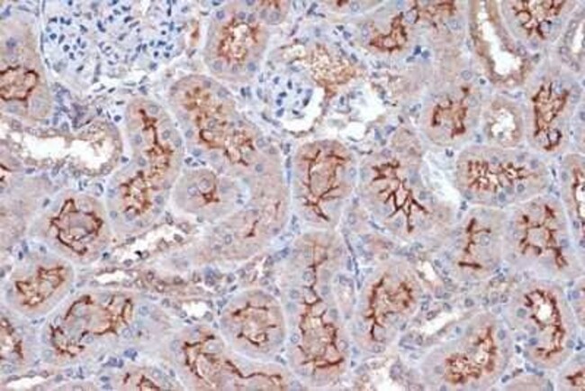
Xanthine Oxidase Monoclonal antibody specifically detects Xanthine Oxidase in Human, Mouse, Rat samples. It is validated for Western Blot, Immunohistochemistry, Immunofluorescence, Immunohistochemistry (Paraffin)Specifications
Xanthine Oxidase | |
Monoclonal | |
Unconjugated | |
PBS, 0.05% BSA, 50% glycerol, pH7.3 | |
Rabbit | |
Affinity purified | |
RUO | |
Primary | |
Human, Mouse, Rat | |
Purified |
Western Blot, Immunohistochemistry, Immunofluorescence, Immunohistochemistry (Paraffin) | |
0M8E7 | |
Western Blot 1:500 - 1:2000, Immunohistochemistry 1:50 - 1:200, Immunocytochemistry/Immunofluorescence 1:50 - 1:200, Immunohistochemistry-Paraffin | |
EC 1.17.1.4, EC 1.7.2.2, xanthene dehydrogenase, xanthine dehydrogenase, xanthine dehydrogenase/oxidase, xanthine oxidase, xanthine oxidoreductase, XDHA, XO, XOR | |
Recombinant fusion protein containing a sequence corresponding to amino acids 202-293 of human Xanthine Oxidase (XDH) (P47989). TPLDPTQEPIFPPELLRLKDTPRKQLRFEGERVTWIQASTLKELLDLKAQHPDAKLVVGNTEIGIEMKFKNMLFPMIVCPAWIPELNSVEHG | |
100 μg | |
Signal Transduction | |
7498 | |
Store at -20°C. Avoid freeze-thaw cycles. | |
IgG |
Product Content Correction
Your input is important to us. Please complete this form to provide feedback related to the content on this product.
Product Title
Spot an opportunity for improvement?Share a Content Correction