Promotional price valid on web orders only. Your contract pricing may differ. Interested in signing up for a dedicated account number?
Learn More

ZNF265/ZIS Rabbit anti-Human, Polyclonal, Bethyl Laboratories

Catalog No. 501559058
Encompass_Preferred
Change view
Click to view available options
Quantity:
100 μL
1 product options available for selection
Product selection table with 1 available options. Use arrow keys to navigate and Enter or Space to select.
Catalog No. Quantity
50-155-9058 100 μL
Use arrow keys to navigate between rows. Press Enter or Space to select a product option. 1 options available.
1 options
Catalog No. 50-155-9058 Supplier Bethyl Laboratories, Inc Supplier No. A301030A
Only null left
Add to Cart
Add to Cart

Rabbit Polyclonal Antibody

The recommended shelf life for this product is 1 year from date of receipt. Based on 100% sequence identity, this antibody is predicted to react with Orangutan

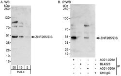
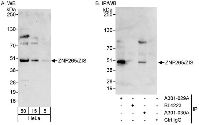
Zinc-finger proteins contain DNA-binding domains and have a wide variety of functions, most of which encompass some form of transcriptional activation or repression. ZNF265 (Zinc finger protein 265), also known as ZRANB2 (Zinc finger Ran-binding domain-containing protein 2), ZIS, ZIS1 or ZIS2, is a 330 amino acid protein that belongs to the ZRANB2 family. Localized to the nucleus, ZNF265 functions as a splicing factor that is responsible for alternatively splicing Tra-2 beta (transformer-2 beta) transcripts and is thought to interfere with constitutive 5′-splice selection. ZNF265 contains two RanBP2-type zinc fingers through which it conveys its RNA-binding activity. Two isoforms, designated ZIS-1 and ZIS-2, are expressed due to alternative splicing events. Upon DNA damage, ZIS-2 may be phosphorylated by ATM or ATR.

Specifications

Antigen ZNF265/ZIS
Applications Western Blot
Classification Polyclonal
Concentration 1 mg/ml
Conjugate Unconjugated
Formulation phosphate, tris citrate with 0.09% sodium azide; pH 7-8
Gene ZRANB2
Gene Accession No. O95218
Gene Alias Zinc finger Ran-binding domain-containing protein 2, Zinc finger protein 265, Zinc finger, splicing, ZRANB2, ZIS, ZNF265
Gene Symbols ZRANB2
Host Species Rabbit
Immunogen Between 270 and C-term
Purification Method Antigen affinity chromatography
Quantity 100 μL
Regulatory Status RUO
Primary or Secondary Primary
Gene ID (Entrez) 9406
Target Species Human
Content And Storage 4° C
Product Type Antibody
Form Liquid
Isotype IgG
Show More Show Less
Product Title
Select an issue

By clicking Submit, you acknowledge that you may be contacted by Fisher Scientific in regards to the feedback you have provided in this form. We will not share your information for any other purposes. All contact information provided shall also be maintained in accordance with our Privacy Policy.