Promotional price valid on web orders only. Your contract pricing may differ. Interested in signing up for a dedicated account number?
Learn More

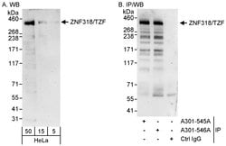
ZNF318/TZF Rabbit anti-Human, Polyclonal, Bethyl Laboratories

Catalog No. 501560661
Encompass_Preferred
Change view
Click to view available options
Quantity:
100 μL
1 product options available for selection
Product selection table with 1 available options. Use arrow keys to navigate and Enter or Space to select.
Catalog No. Quantity
50-156-0661 100 μL
Use arrow keys to navigate between rows. Press Enter or Space to select a product option. 1 options available.
1 options
Catalog No. 50-156-0661 Supplier Bethyl Laboratories, Inc Supplier No. A301546A
Only null left
Add to Cart
Add to Cart

Rabbit Polyclonal Antibody

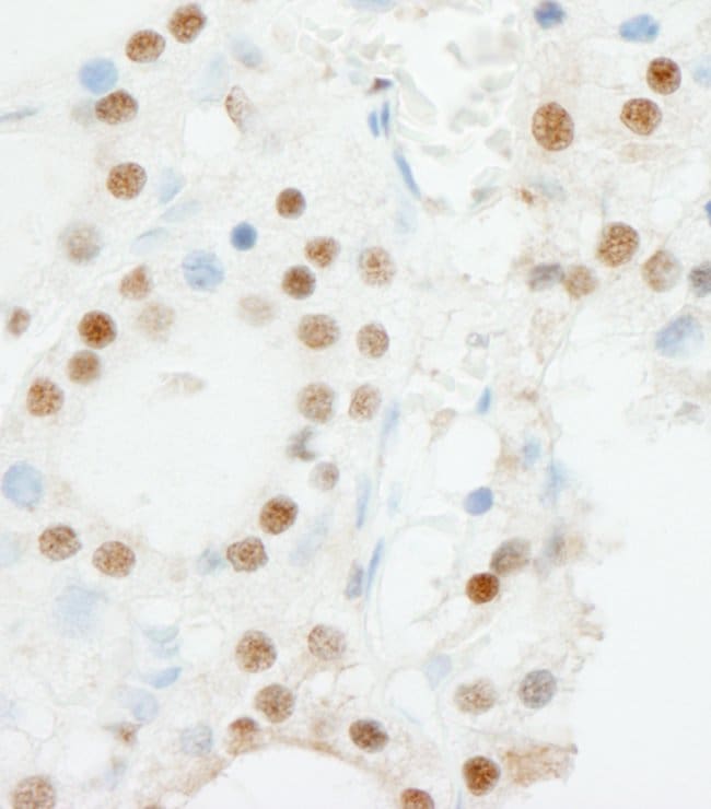
The recommended shelf life for this product is 1 year from date of receipt. Application Note: For IHC, epitope retrieval with citrate buffer pH 6.0 is recommended for FFPE tissue sections.

ZNF318 encodes a nuclear protein with a zinc finger motif of the Cys2-His2 type that is a novel corepressor of androgen receptor (AR).

Specifications

Antigen ZNF318/TZF
Applications Immunohistochemistry, Immunoprecipitation, Western Blot
Classification Polyclonal
Concentration 1 mg/ml
Conjugate Unconjugated
Formulation phosphate, tris citrate with 0.09% sodium azide; pH 7-8
Gene ZNF318
Gene Accession No. Q5VUA4
Gene Alias endocrine regulator, endocrine regulatory protein, HRIHFB2436, testicular zinc finger, TZF, ZFP318
Gene Symbols ZNF318
Host Species Rabbit
Immunogen Between 2049 and 2099
Purification Method Antigen affinity chromatography
Quantity 100 μL
Regulatory Status RUO
Primary or Secondary Primary
Gene ID (Entrez) 24149
Target Species Human
Content And Storage 4° C
Product Type Antibody
Form Liquid
Isotype IgG
Show More Show Less
Product Title
Select an issue

By clicking Submit, you acknowledge that you may be contacted by Fisher Scientific in regards to the feedback you have provided in this form. We will not share your information for any other purposes. All contact information provided shall also be maintained in accordance with our Privacy Policy.