Choose the brand aligned with your industry so we can best serve your needs.
For researchers, scientists, and technical professionals: Your one-stop shop for the complete range of laboratory, production, and safety products and services.
Various organic compounds consisting of carbon, hydrogen, and oxygen atoms that are found in foods and living tissues; typically broken down to release energy; includes sugars, sugar alcohols, sugar acids and derivatives, glycosyl compounds, and more.
Small and Specialty Supplier Partner Small and/or specialty supplier based on Federal laws and SBA requirements. Learn More
beta-Interleukin II 44-56 is a synthetic peptide fragment derived from interleukin-2 (IL-2) It is designed to serve as a functional IL-2 derivative peptide thereby facilitating studies on immune system modulation and T-cell regulation beta-Interleukin II 44-56 exerts its biological activity by providing a representative segment of IL-2 which supports investigation of T-cell activity regulatory T-cell mechanisms and immunological signaling pathways in cellular and molecular immunology research Based on these pharmacological properties beta-Interleukin II 44-56 holds research potential in studies of immune regulation T-cell biology and immune-related disease mechanisms
Encompass Procurement Services Non-distribution item offered as a customer accommodation; additional freight charges may apply. Learn More
Small and Specialty Supplier Partner Small and/or specialty supplier based on Federal laws and SBA requirements. Learn More
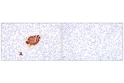
IKB beta/NFKBIB protein effectively inhibits NF-kappa-B and prevents NF-kappa-B activation by forming a cytoplasmic complex After cell stimulation the non-phosphorylated form is resynthesized binds to NF-kappa-B aids nuclear transport and protects NF-kappa-B from NFKBIA-dependent inactivation IKB beta/NFKBIB Protein Human (His) is the recombinant human-derived IKB beta/NFKBIB protein expressed by E coli with N-6 His labeled tag
Encompass Procurement Services Non-distribution item offered as a customer accommodation; additional freight charges may apply. Learn More
Small and Specialty Supplier Partner Small and/or specialty supplier based on Federal laws and SBA requirements. Learn More
IKB beta/NFKBIB protein effectively inhibits NF-kappa-B and prevents NF-kappa-B activation by forming a cytoplasmic complex After cell stimulation the non-phosphorylated form is resynthesized binds to NF-kappa-B aids nuclear transport and protects NF-kappa-B from NFKBIA-dependent inactivation IKB beta/NFKBIB Protein Human (His) is the recombinant human-derived IKB beta/NFKBIB protein expressed by E coli with N-6 His labeled tag
Encompass Procurement Services Non-distribution item offered as a customer accommodation; additional freight charges may apply. Learn More