Learn More
Description
Specifications
Specifications
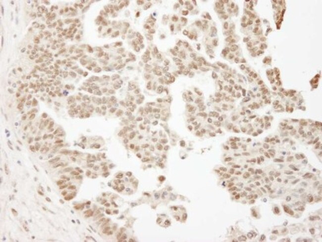
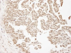
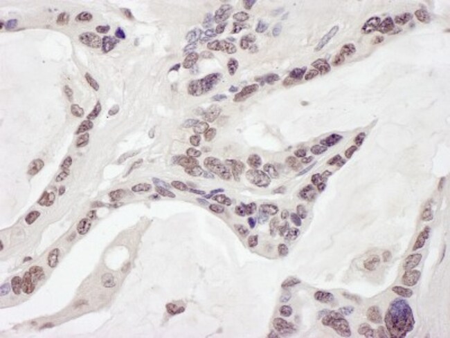
| Antigen | ARID1B |
| Applications | Immunohistochemistry, Immunoprecipitation, Immunohistochemistry (Paraffin) |
| Classification | Polyclonal |
| Concentration | 1.0 mg/mL |
| Conjugate | Unconjugated |
| Dilution | Immunohistochemistry 1:500-1:2000, Immunoprecipitation 2-5 ug/mg lysate, Immunohistochemistry-Paraffin 1:500-1:2000 |
| Formulation | Tris-Citrate/Phosphate (pH 7.0 - 8.0) with 0.09% Sodium Azide |
| Gene Accession No. | Q8NFD5 |
| Gene Alias | 6A3-5, ARID domain-containing protein 1B, AT rich interactive domain 1B (SWI1-like), BAF250B, BRG1-associated factor 250b, BRG1-binding protein ELD/OSA1, BRG1-binding protein hELD/OSA1, BRIGHT, DAN15P250R, ELD (eyelid)/OSA protein, ELD/OSA1, hOsa2, JPUT1, KDM5B, KIAA1235AT-rich interactive domain-containing protein 1B, Osa homolog 2, OSA2, p250R, PLU1, RBBP2H1A |
| Gene Symbols | ARID1B |
| Show More |
For Research Use Only
By clicking Submit, you acknowledge that you may be contacted by Fisher Scientific in regards to the feedback you have provided in this form. We will not share your information for any other purposes. All contact information provided shall also be maintained in accordance with our Privacy Policy.
