Promotional price valid on web orders only. Your contract pricing may differ. Interested in signing up for a dedicated account number?
Learn More
Learn More
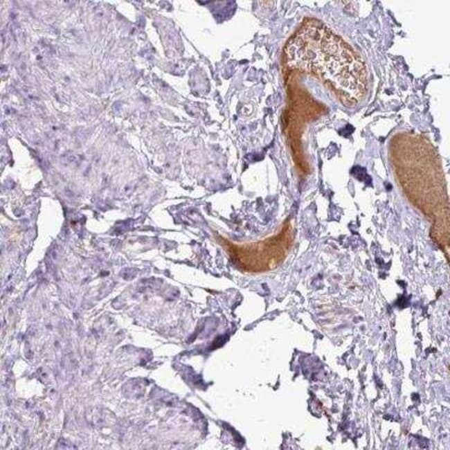
Complement C4a Antibody, Novus Biologicals™

Rabbit Polyclonal Antibody
Supplier: Novus Biologicals NBP24676025UL
Description
Complement C4a Polyclonal antibody specifically detects Complement C4a in Human samples. It is validated for Immunohistochemistry, Immunohistochemistry (Paraffin)Specifications
| Complement C4a | |
| Polyclonal | |
| Immunohistochemistry 1:20 - 1:50, Immunohistochemistry-Paraffin 1:20 - 1:50 | |
| P0C0L5 | |
| Rabbit | |
| Immunogen affinity purified | |
| RUO | |
| Primary | |
| Human | |
| Purified |
| Immunohistochemistry, Immunohistochemistry (Paraffin) | |
| Unconjugated | |
| PBS (pH 7.2), 40% Glycerol | |
| C3 and PZP-like alpha-2-macroglobulin domain-containing protein 2, C4, complement component 4A (Rodgers blood group), RG | |
| This antibody was developed against Recombinant Protein corresponding to amino acids: PGKPYILTVPGHLDEMQLDIQARYIYGKPVQGVAYVRFGLLDEDGKKTFFRGLESQTKLVNGQSHISLSKAEFQDALEKLNMGITD | |
| 25 μL | |
| Immunology, Innate Immunity | |
| 720 | |
| Store at 4°C short term. Aliquot and store at -20°C long term. Avoid freeze-thaw cycles. | |
| IgG |
Product Content Correction
Your input is important to us. Please complete this form to provide feedback related to the content on this product.
Product Title
Spot an opportunity for improvement?Share a Content Correction