Promotional price valid on web orders only. Your contract pricing may differ. Interested in signing up for a dedicated account number?
Learn More
Learn More
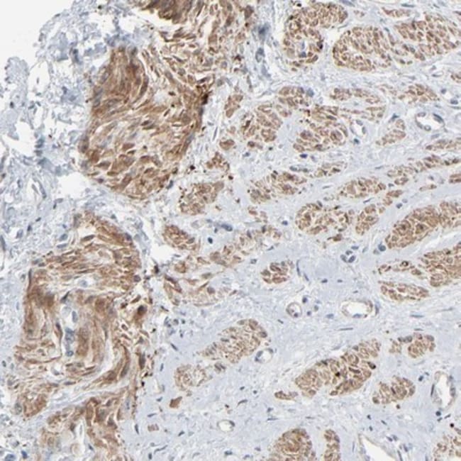
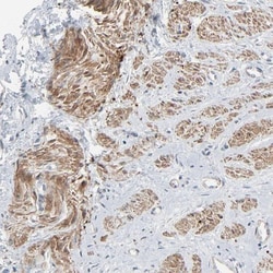
NeuroD1 Antibody, Novus Biologicals™

Rabbit Polyclonal Antibody has been used in 1 publication
$382.00 - $646.00
Specifications
| Antigen | NeuroD1 |
|---|---|
| Dilution | Western Blot 0.04 - 0.4 ug/ml |
| Applications | Western Blot, Immunohistochemistry, Immunohistochemistry (Paraffin) |
| Classification | Polyclonal |
| Conjugate | Unconjugated |
Description
NeuroD1 Polyclonal specifically detects NeuroD1 in Human samples. It is validated for Western Blot, Immunohistochemistry, Immunohistochemistry-Paraffin.Specifications
| NeuroD1 | |
| Western Blot, Immunohistochemistry, Immunohistochemistry (Paraffin) | |
| Unconjugated | |
| RUO | |
| Human | |
| basic helix-loop-helix transcription factor, BETA2, BHF-1, BHLHA3, bHLHa3beta-cell E-box transactivator 2, Class A basic helix-loop-helix protein 3, MODY6, NeuroD, NeuroD1, neurogenic differentiation 1, neurogenic differentiation factor 1, neurogenic helix-loop-helix protein NEUROD, NIDDM | |
| NEUROD1 | |
| IgG | |
| Affinity Purified | |
| Specificity of antibody verified on a Protein Array containing target protein plus 383 other non-specific proteins. |
| Western Blot 0.04 - 0.4 ug/ml | |
| Polyclonal | |
| Rabbit | |
| Neuroscience, Stem Cells | |
| PBS (pH 7.2) and 40% Glycerol with 0.02% Sodium Azide | |
| 4760 | |
| This antibody was developed against Recombinant Protein corresponding to amino acids:ASFPVHPYSYQSPGLPSPPYGTMDSSHVFHVKPPPHAYSAALEPFFESPLTDCTSPSFDGPLSPPLSINGNFSFKHEPSAEFEKNYAFTMHYPAATLAGAQSHGSIFSGTAAPRCEIPIDNIMSFDSHSHHERVMSAQL | |
| Primary | |
| Store at 4C short term. Aliquot and store at -20C long term. Avoid freeze-thaw cycles. |
For Research Use Only
Spot an opportunity for improvement?Share a Content Correction
Product Content Correction
Your input is important to us. Please complete this form to provide feedback related to the content on this product.
Product Title