Choose the brand aligned with your industry so we can best serve your needs.
For researchers, scientists, and technical professionals: Your one-stop shop for the complete range of laboratory, production, and safety products and services.
Systematic combinations of a large variety of peptides manufactured to customer specifications; can be used for target screening in research areas such as immunotherapy, vaccine development, drug discovery, and proteomics.
Filtered Search Results
Products from some of our suppliers do not display in filtered search results. Please
clear all filters
to see these products.
CEF Control Peptide Pool, (1 mg) This product contains 0.03 mg (net) of the 32 CEF peptides for a total of 1 mg in one vial. Used in the stimulation of IFNy release from CD8+ T cells in individuals with defined HLA types, these epitopes are useful in applications such as ELISPOT, intracellular cytokine and CTL assays.
Encompass Procurement Services Non-distribution item offered as a customer accommodation; additional freight charges may apply. Learn More
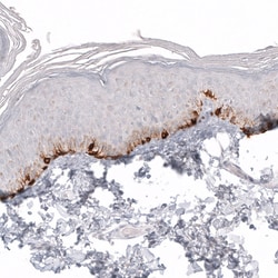
Trophoblast Glycoprotein Primary Antibody Unconjugated Public Immunogen Range 230-280/366 Host Species Rabbit Target Species Human Clonality Monoclonal Applications WB Concentration Lot dependent Size 50 ul Storage Buffer Supplied in PBS (pH 7 4) containing 50% glycerol and 0 02% sodium azide
Encompass Procurement Services Non-distribution item offered as a customer accommodation; additional freight charges may apply. Learn More
Anti-SARS-CoV-2 Spike Glycoprotein RBD IgG Negative Control has been tested and formulated to work exclusively with Cayman’s Anti-SARS-CoV-2 Spike Glycoprotein RBD IgG ELISA Kit (Item No. 502111).
Encompass Procurement Services Non-distribution item offered as a customer accommodation; additional freight charges may apply. Learn More
Severe acute respiratory syndrome coronavirus 2 (SARS-CoV-2) is the virus that causes coronavirus disease 2019 (COVID-19) the respiratory illness responsible for the COVID-19 pandemic SARS-CoV-2 also known as 2019-nCoV is a positive-sense single-stranded RNA virus and is believed to have zoonotic origins and has close genetic similarity to bat coronaviruses The receptor binding domain (RBD) of spike protein of the SARS-CoV-2 virus binds Angiotensin-Converting Enzyme 2 (ACE2) to invade the host cells Based on structural biology studies the RBD can be oriented either in the up/standing or down/lying state with the up/standing state associated with higher pathogenicity
Encompass Procurement Services Non-distribution item offered as a customer accommodation; additional freight charges may apply. Learn More