Choose the brand aligned with your industry so we can best serve your needs.
For researchers, scientists, and technical professionals: Your one-stop shop for the complete range of laboratory, production, and safety products and services.
Restriction enzymes, modifying enzymes, buffering solutions, inhibitors, and substrates for use in clinical, research, and general laboratory procedures.
-Amylase from sweet potato is a tetrameric enzyme with each monomer comprising (Î/) core domain and a C-terminal loop region. It belongs to the glycoside hydrolase family GH14.
Encompass Procurement Services Non-distribution item offered as a customer accommodation; additional freight charges may apply. Learn More
Small and Specialty Supplier Partner Small and/or specialty supplier based on Federal laws and SBA requirements. Learn More
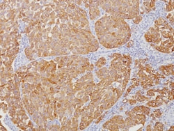
Tyrosinase is a key enzyme involved in the initial stages of melanin biosynthesis. Studies have shown Tyrosinase antibody to be a more sensitive marker for melanoma when compared to HMB45 and MART-1. It has also shown to label a higher percentage of desmoplastic melanomas than HMB45. Unlike HMB45, Tyrosinase does not discriminate between activated or resting melanocytes. Other studies have shown Tyrosinase to be a very specific marker for melanomas that did not cross react with any tumors or normal tissues tested. Tyrosinase is reported to be a superior melanoma marker when compared to HMB45.
Encompass Procurement Services Non-distribution item offered as a customer accommodation; additional freight charges may apply. Learn More
Small and Specialty Supplier Partner Small and/or specialty supplier based on Federal laws and SBA requirements. Learn More
A CoA derivative used in fatty acid and polyketide synthesis and in the transport of α-ketoglutarate across the mitochondrial membrane; may mediate cancer cell cytotoxicity induced by fatty acid synthase inhibition
Encompass Procurement Services Non-distribution item offered as a customer accommodation; additional freight charges may apply. Learn More
Small and Specialty Supplier Partner Small and/or specialty supplier based on Federal laws and SBA requirements. Learn More
Measure enzyme activity of heparanase in cell culture supernatants, human plasma, biological fluids and tissue samples. These kits provide a solution to the performance and standardization problems found with traditional measurement techniques used for these types of enzymes.
Encompass Procurement Services Non-distribution item offered as a customer accommodation; additional freight charges may apply. Learn More